Untapping The Huge Dental AI Market For Everyone!
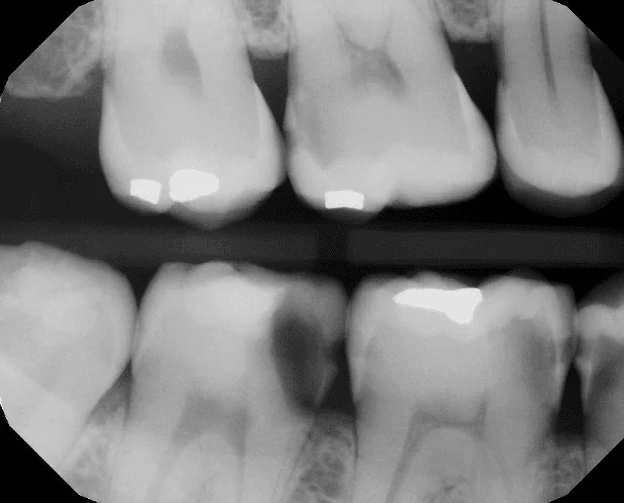
SMILE Dx® empowers dentists to diagnose cavities, PAPs and peridontal disease on the pixel level.
Patients who see their x-rays in AI are significantly more likely to accept treatment1.
“RED…
that can’t be good”
Dentist will have the technology to detect cavities, gum disease, and root canals on the pixel level. The days of “watching” a cavity get larger are over.
Start the Conversation With SMILE Dx®
Faster diagnoses. More confident treatment plans. Better patient outcomes. Ready to see what AI-powered dental diagnostics can do for your practice?
No physician ever told a patient “lets watch this cancer”. Early detection and conservative treatment is the only ethical solution.
SMILE Dx® is Now FDA Approved!
SMILE Dx® is now FDA-approved — transforming our technology from potential to deployable solution. This milestone signals market readiness and accelerates our path to commercial growth and partnerships.
The Smiles Behind SMILE Dx®

RICHARD RICCI, DDS
Chief Executive Officer

ANDREA R. CAMBRIA, DDS
Chief Financial Officer

YUJAN SHRESTHA, MD
AI Team Leader

ETHAN ULRICH, BS
Computer Vision Engineer

JOSHUA TZUCKER, BA
Software Engineer

SETH T. LIRETTE, PH.D.
Biostatic Adviser

MERI MARTINEZ, BA
FDA Regulatory Consultant

MARY VATER, BA
FDA Regulatory Consultant
