Skip to main content
Hit enter to search or ESC to close
Search
Close Search
Menu
FDA Approval
Responsible AI
Doctor’s Test
Contact
The Smile DX Test
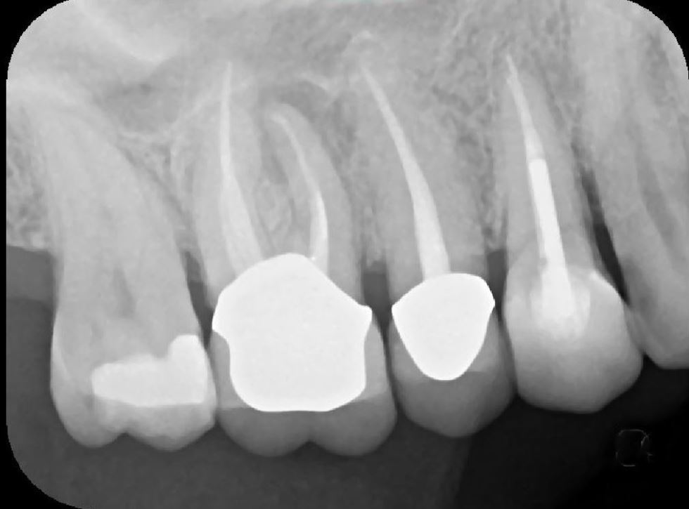
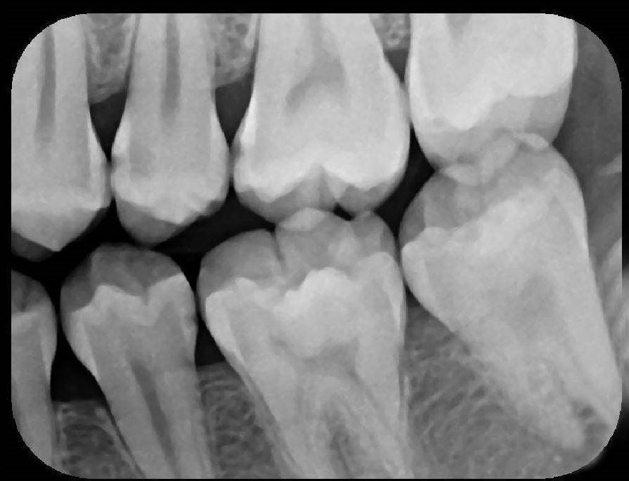
X-Ray 1: How many caries are present?
(Required)
0
1
2
3
4
5
X-Ray 1: How many PAP's are present?
(Required)
0
1
2
3
4
5
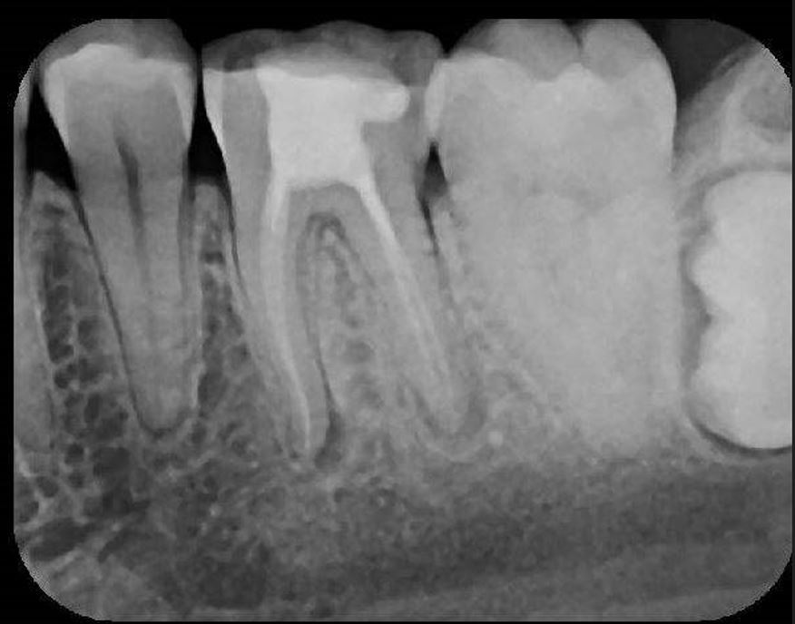
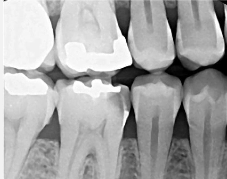
X-Ray 2: How many caries are present?
(Required)
0
1
2
3
4
5
X-Ray 2: How many PAP's are present?
(Required)
0
1
2
3
4
5
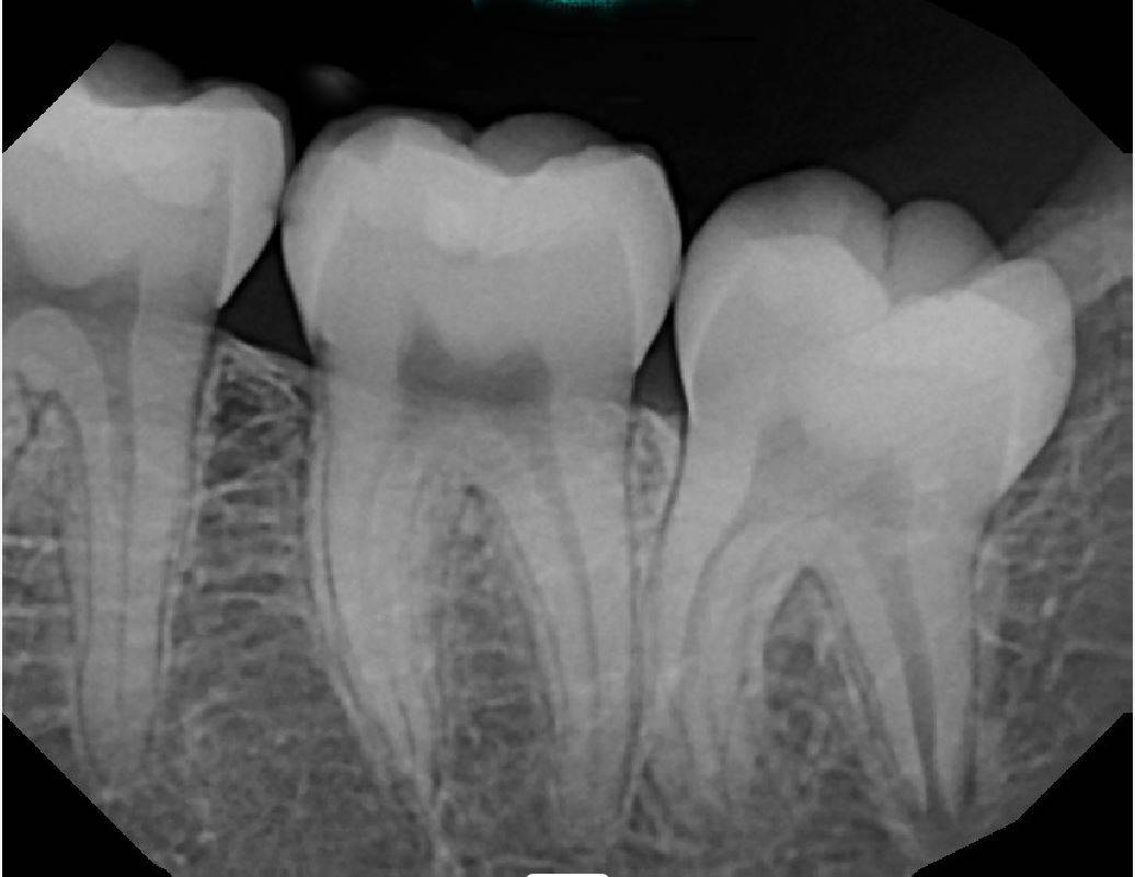
X-Ray 3: How many caries are present?
(Required)
0
1
2
3
4
5
X-Ray 3: How many PAP's are present?
(Required)
0
1
2
3
4
5
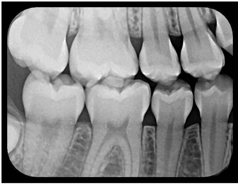
X-Ray 4: How many caries are present?
(Required)
0
1
2
3
4
5
X-Ray 4: How many PAP's are present?
(Required)
0
1
2
3
4
5
X-Ray 5: How many caries are present?
(Required)
0
1
2
3
4
5
X-Ray 5: How many PAP's are present?
(Required)
0
1
2
3
4
5
X-Ray 6: How many caries are present?
(Required)
0
1
2
3
4
5
X-Ray 6: How many PAP's are present?
(Required)
0
1
2
3
4
5
X-Ray 7: How many caries are present?
(Required)
0
1
2
3
4
5
X-Ray 7: How many PAP's are present?
(Required)
0
1
2
3
4
5
X-Ray 8: How many caries are present?
(Required)
0
1
2
3
4
5
X-Ray 8: How many PAP's are present?
(Required)
0
1
2
3
4
5
X-Ray 9: How many caries are present?
(Required)
0
1
2
3
4
5
X-Ray 9: How many PAP's are present?
(Required)
0
1
2
3
4
5
X-Ray 10: How many caries are present?
(Required)
0
1
2
3
4
5
X-Ray 10: How many PAP's are present?
(Required)
0
1
2
3
4
5
Close Menu
FDA Approval
Responsible AI
Doctor’s Test
Contact
x-twitter
bluesky
facebook
instagram
threads
email
Copyright © Smile DX® powered by Cube Click, Inc. All Rights Reserved.